Մատչելի հղումներ

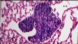
Քաղցկեղից բուժման բեկումնային հայտնագործություն


Քաղցկեղից բուժման բեկումնային հայտնագործություն
please wait

No media source currently available

0:00 0:02:19 0:00

Չնայած քաղցկեղի դեմ պայքարի մի շարք նոր մոտեցումների՝ այն դեռևս դասվում է մահացու հիվանդությունների շարքին: Արդի բուժական մեթոդներով հնարավոր է կանխել առաջնային ուռուցքային բջիջների աճը:

XS
SM
MD
LG